IHMC Public Cmaps (3)

        Users (create your own folder...)
            RPI-Cancer-Biol-2007
                Stacie Manning
                    Class Notes
                    Resources for Chapter 15 discussion

                        chapter 15 figures
                        figure 15-19b.jpg
                        figure 15-1a.jpg
                        figure 15-1b.jpg
                        figure 15-1c.jpg
                        figure 15-22d.jpg
                        figure 15-29.jpg
                        figure 15-30a.jpg
                        figure 15-30b.jpg
                        figure 15-34a.jpg
                        figure 15-34c.jpg
                        figure 15-3a.jpg
                        figure 15-3b.jpg
                        figure 15-4a.jpg
                        figure 15-4b.jpg
                        figure 15-5a.jpg
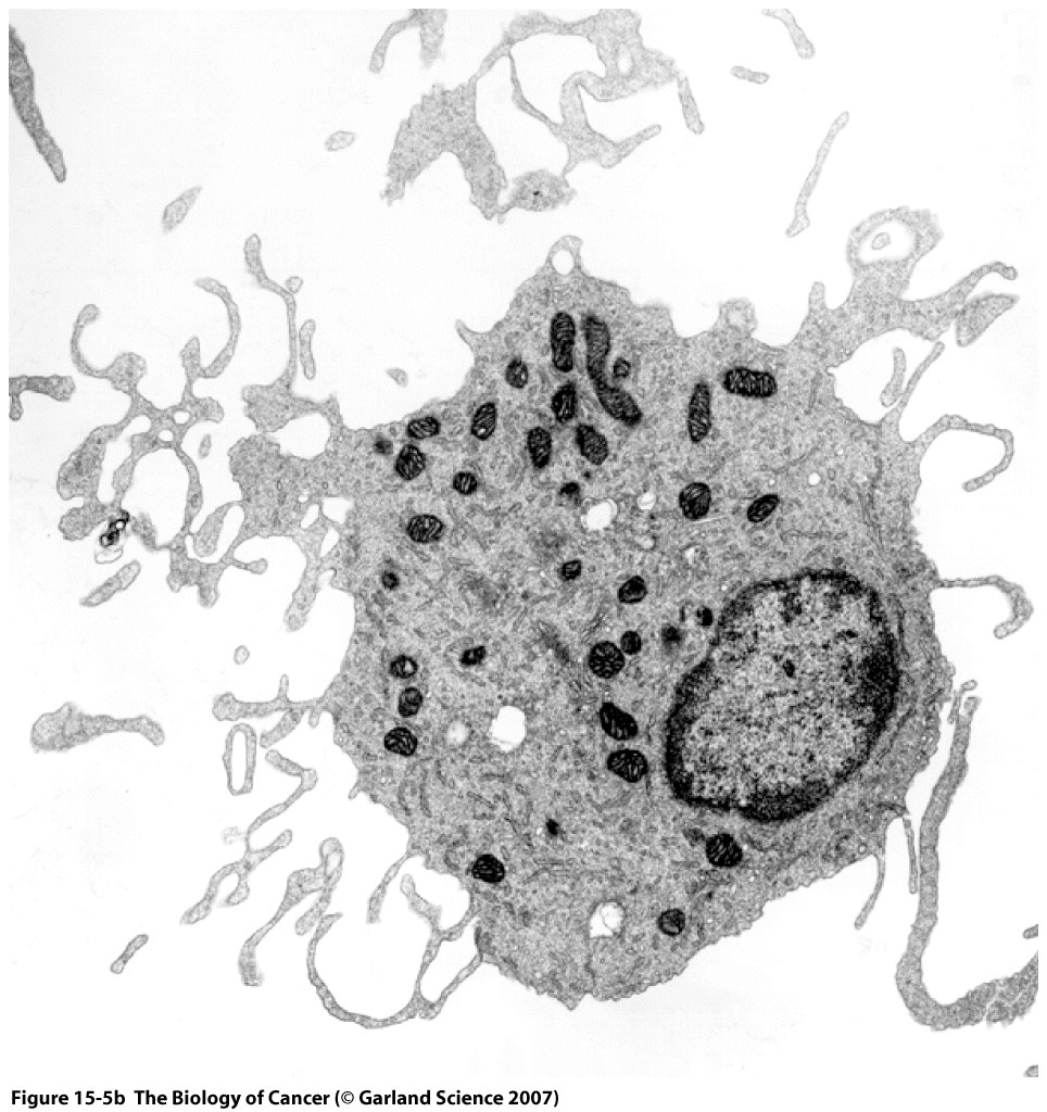
                        figure 15-5b.jpg