Warning:
JavaScript is turned OFF. None of the links on this page will work until it is reactivated.
If you need help turning JavaScript On, click here.
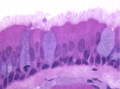
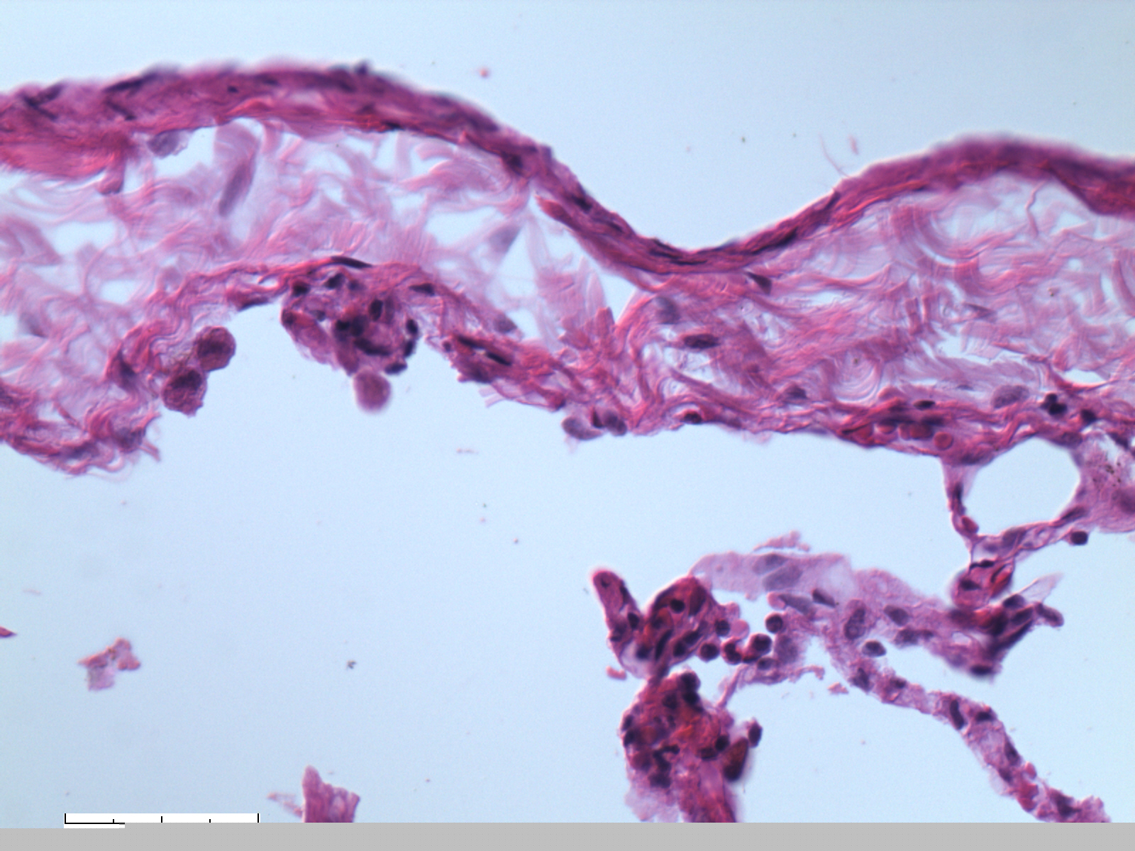
This Concept Map, created with IHMC CmapTools, has information related to: Respiratory3, Fibrocytes secrete Elastin, Group of organs performing specific Physiological Functions, Lamina Propria embedded with Glands, Trachea branch into Bronchi, Nerves visceral efferents Parasympathetic, Respiratory Epithelium rests on Lamina Propria, Basal characteristicized by Desmosomes, Bronchi branch further into Bronchioles, Sustenacular characterized by Columnar, Pneumocytes include Type I, Nasal Cavity from the Oral Cavity, Lungs contain Respiratory Bronchioles, Brush rich in Cytoskeleton, Respiratory System comprised of Conducting Portion, Pleura both Parietal, Mesothelium is Simple Squamous-->Cuboidal Epithelium, Respiratory Epithelium cell types Neuroendocrine APUD, Paranasal Sinuses lined by Respiratory Epithelium, Conducting Portion conduct air to Lungs, Respiratory Epithelium cell types Brush