IHMC Public Cmaps (3)

        Users (create your own folder...)
            CLASS 2021 UWI SVM GR A
                Lab 4 - Equine Nerve Blocks
                misc

                    071808HorseCare.jpg
                    5 grades of lameness.jpg
                    abaxial nerve block.url
                    Arthrocentesis.url
                    ASNB.jpeg
                    BICIPITAL.url
                    BICIPITAL BURSA BLOCK.jpg
                    Biomechanical Testing.jpg
                    Body Condition Score For Horses.png
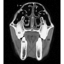
                    Brain CT Scan.jpg
                    Chlorohexidine Gluconate Surgical Scrub.jpg
                    coffin joint injection.url
                    coffin joint injection after block.url
                    Comparison of drugs.jpg
                    DFTS.url
                    Distance Examination.png
                    drugs1.jpg
                    drugs2.jpg
                    drugs3.jpg
                    Equine Comfort Assessment Scale.jpeg
                    equine lab pic1.jpeg
                    equine lab pic2.jpeg
                    equine lab pic3.jpeg
                    equine lab pic4.jpeg
                    Equine Lameness Exam Obeservation of horse in motion.url
                    equine limb tendons & ligaments.jpg
                    equine-nerve-joint-blocks-25-638.jpg
                    equine-nerve-joint-blocks-27-638.jpg
                    equine-nerve-joint-blocks-31-638.jpg
                    equine-nerve-joint-blocks-32-638.jpg
                    Equine Pain Score Scale.jpeg
                    Examination of the Head.png
                    Examination of the left side.png
                    Examination of the neck.png
                    Examination of the tail end.png
                    Examining the Horse from nose to tail on the left and right side.jpg
                    forelimb anatomy.url
                    H6PNB.jpeg
                    hind limb anatomy.jpg
                    hind limb anatomy.url
                    hoof & lower limb anatomy.url
                    horselig1.jpg
                    Intra-Articular Joint Scrub and Injection Coffin Joint.url
                    Isopropyl Alcohol.jpg
                    joint scrub.url
                    L4PNB.jpeg
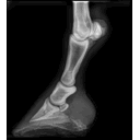
                    Left Forelimb Phalangeal Lateral Radiograph.jpg
                    MRI showing erosion of cartilage within the navicular bone int the forelimb.jpg
                    MRI showing mild tendonitis within DDFT.jpg
                    palmar digital nerve block.url
                    PDNB.jpeg
                    Physical Examination of Horse.url
                    Povidone Iodine Scrub.png
                    Radiograph seen on Tablet Device.jpg
                    SAA study.url
                    Scrubbing for Nerve Block.url
                    Scrubbing Preparation.mp4
                    Subsolar abscess 1.JPG
                    Subsolar abscess 2.JPG
                    Subsolar abscess bandage.jpg
                    Taking a Brain CT Scan.jpg
                    Taking an X Ray.jpg
                    Taking MRI of Forelimb.jpg
                    tendons & ligaments of distal limb.url
                    tenoscopy-equine-flexor-tendon-sheath-2-638.jpg
                    wheat nerve block.jpg