IHMC Public Cmaps (3)

        Users (create your own folder...)
            C19 SVM 2023 GR 5
                GROUP 5 - LAB 8 - (INTESTINAL SURGERY)
                Resources

                    1. Manual extraction - Choking cases.url
                    5 Station Physical exam (1).pdf
                    Abdominal examination in ruminants video.url
                    Abdominal Ultrasound in Ruminants.url
                    A cost-benefit analysis of pain mitigation.pdf
                    Alternative technique for Rectal Prolapse.JPG
                    amp 1.PNG
                    amp2.PNG
                    amp 3.PNG
                    amp 4.PNG
                    Anesthesia, Analgesia, and Chemical Restraint in the Clinic and On the Farm.url
                    asa-physical-status-classification-system.pdf
                    AVIAN.jpeg
                    Avian GIT Anatomy Video.url
                    AVMA MODEL CONSENT FORM.url
                    Bowel plication.jpg
                    Bowel Plication.cmap
                    BSC Goat.png
                    CANINE.jpeg
                    Canine Anatomy Video.url
                    Cattle-body-condition-scoring-chart-QDAF-2019.png
                    Caudal Epidural Block.JPG
                    causes of intestinal obstruction in small intestine.JPG
                    classification rectal tears.JPG
                    Client Education and Communication.pdf
                    Client Post Operative Care.pdf
                    Code of Conduct and Communication Guidelines between Veterinarians and Clients.url
                    Complete Drugs Table.docx
                    Complications.pdf
                    CONDITIONS.cmap
                    Dairy Cow Welfare.url
                    Dehiscence.cmap
                    DI.JPG
                    DRUGS WITHDRAWAL TIME.docx
                    Endoscopy - Python.url
                    ENTEROLITH.jpg
                    Enterolith in a Horse.mp4
                    ENTEROTOMY.cmap
                    ENTEROTOMY ABDOMINAL CLOSURE.jpeg
                    ENTEROTOMY INCISION.jpeg
                    ENTEROTOMY LEAK TEST.jpeg
                    ENTEROTOMY PROCEDURE IMAGE 1.jpeg
                    ENTEROTOMY SURGICAL PROCEDURE.cmap
                    ENTEROTOMY TIMELAPSE VIDEO.url
                    ENTEROTOMY VIDEO 2.url
                    EQUINE.jpeg
                    Equine Anatomy Video.url
                    Equipment Table - Intestinal Surgery.docx
                    evaluation form.JPG
                    Evaluation of Culture Methods To Identify Bovine Feces.url
                    examination form for physical examination of animal.png
                    fecal egg counts.JPG
                    FELINE.jpeg
                    FOREIGN BODY.cmap
                    FOREIGN BODY IDENTIFICATION.jpg
                    FOREIGN BODY REMOVAL.jpeg
                    Frequently Asked Questions Veterinary Surgery.url
                    Further sutures lumenal size disparity.jpg
                    GIT OF OX.JPG
                    GIT OF PIG.JPG
                    grades rectal prolapse plus prognosis.JPG
                    Guidance on the Safe Handling of Cattle on Farms.url
                    Gut Health + Importance.url
                    Hematology as a diagnostic tool in bovine medicine.url
                    history data.JPG
                    Indications for Intestinal Surgical Procedures.cmap
                    Interpreting of blood work in small ruminants.url
                    Intersussception Complications.JPG
                    Intestinal Conditions for Surgery.JPG
                    Intestinal Resection and Anastomosis.cmap
                    Intussusception.cmap
                    Intussusception Extended Info.url
                    Intussusception Info.JPG
                    Inverted L Block Video.url
                    Inverting End to End Stapled Anastomosis.cmap
                    Inverting End to End Stapled Anastomosis Procedure.cmap
                    Lab 8 - Ruminant Intestinal Surgical Procedures- Copy.cmap
                    LAPAROTOMY INCISION.jpeg
                    LAYERS OF THE INTESTINAL WALL.jpeg
                    Lecture 8.3 Intestinal Resection and Anastomosis.url
                    LINEAR FOREIGN BODY GROSS.jpg
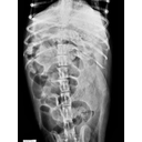
                    LINEAR FOREIGN BODY RADIOGRAPH.jpg
                    Lumenal Size Disparity.cmap
                    MAIN BACKGROUND.jpeg
                    Making hard decisions- horse.url
                    Necrosis.cmap
                    Neoplasia.cmap
                    Nutritional strategies in ruminants - A lifetime approach.url
                    Oblique Angle.jpg
                    Omental Patching.url
                    Overview of Gastrointestinal Parasites of Ruminants.url
                    Pain Management for all procedures.JPG
                    Paralumbar Vertebrae Nerve Blocks.pdf
                    Paravertebral Nerve Block.url
                    Permanent colostomy after small colon prolapse in a parturient mare.pdf
                    Post Op- After care and Monitoring.JPG
                    Practical Aspects of General Anesthesia in Cattle.pdf
                    Preanesthetic Bloodwork.url
                    Pre-op Considerations.JPG
                    Progress in the Understanding of Hemorrhagic Bowel Syndrome.url
                    RABBIT.jpeg
                    Rabbit GIT Anatomy.url
                    RECTAL PROLAPSE.cmap
                    rectal prolapse class.PNG
                    Rectal Prolapse Immediate After Care.JPG
                    Rectal Prolapse Long Term After Care.JPG
                    RELEVANT ANATOMY.cmap
                    risks and prognosis - intestinal obstructions (cattle).JPG
                    Serosal patching.jpg
                    Serosal Patching.cmap
                    Side to Side Picture.jpg
                    Side to Side Procedure.jpg
                    SMALL RUMINANT.jpeg
                    Small ruminant anatomy video.url
                    Small Wedge.jpg
                    Stapled Anastomosis.cmap
                    sub mucosal resection 1.PNG
                    sub mucosal resection 2.PNG
                    sub mucosal resection 3.PNG
                    sub mucosal resection 4.PNG
                    Suture Anastomosis.cmap
                    Suture Anastomosis Procedure.cmap
                    Suture Anastomosis Step 1.jpg
                    Suture Anastomosis Step 1-2.jpg
                    Suture Anastomosis Step 2-1.jpg
                    Suture Anastomosis Step 2-2.jpg
                    Suture Anastomosis Step 3.jpg
                    Swine GIT Anatomy Video.url
                    SynDaver Synthetic Canine Intestinal Resection Anastomosis.url
                    Torsion & Volvulus.cmap
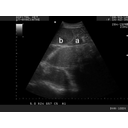
                    ultrasound intestinal example.jpg
                    Ultrasound with laparoscopy for the diagnosis of abdominal disorders in cattle.url
                    Usefulness and Limitation of Ultrasonography in the Diagnosis of Intestinal Intussusception in Cows.url
                    Utilize fecal egg count to determine deworming decisions.url
                    WhatsApp Image 2021-11-05 at 8.37.46 AM.jpeg
                    WhatsApp Image 2021-11-05 at 9.53.16 AM.jpeg
                    xd.png