IHMC Public Cmaps (3)

        Users (create your own folder...)
            Maladies génétiques de la rétine chez le chien
            Images

                collobome ophtal.png
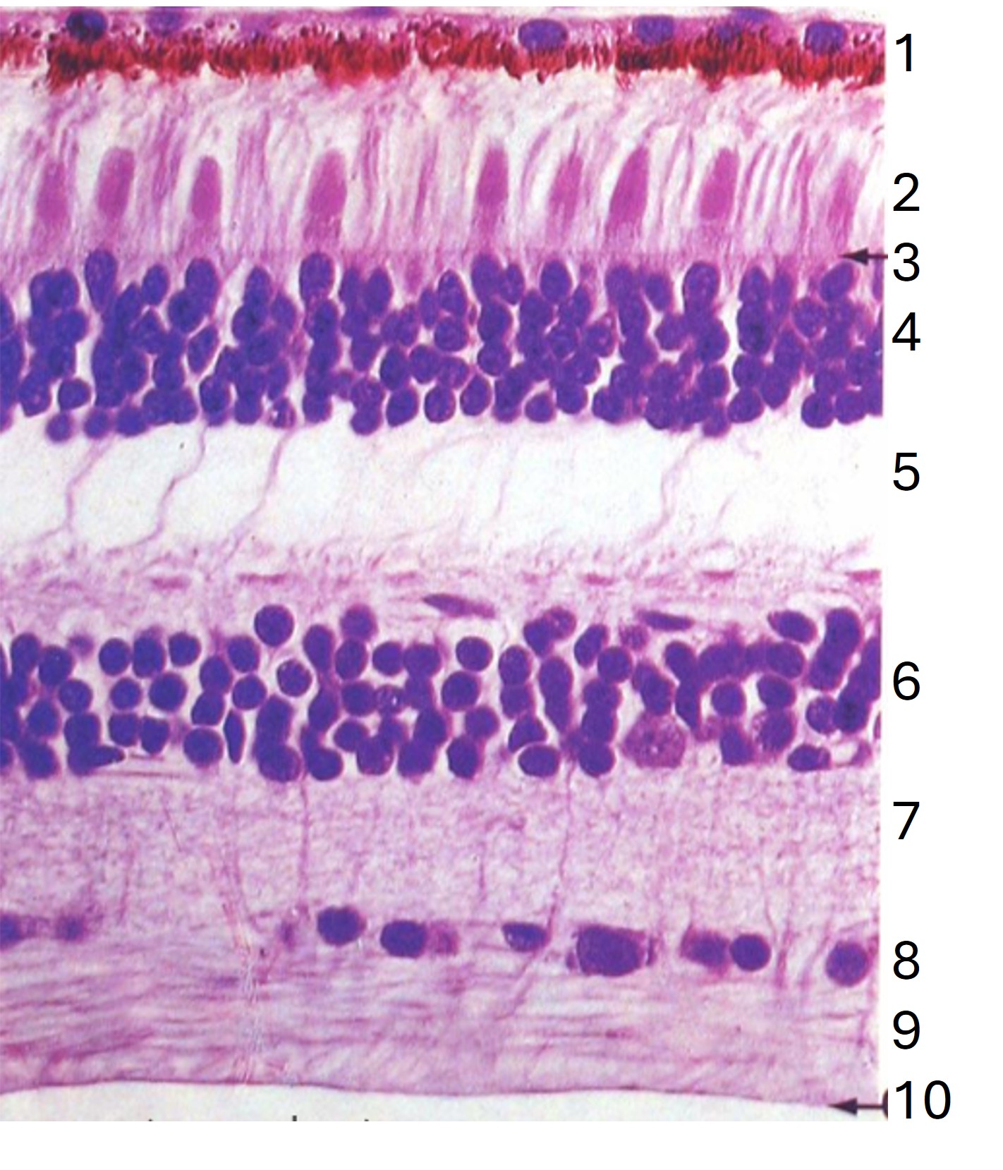
                coupe rétine.png.jpg
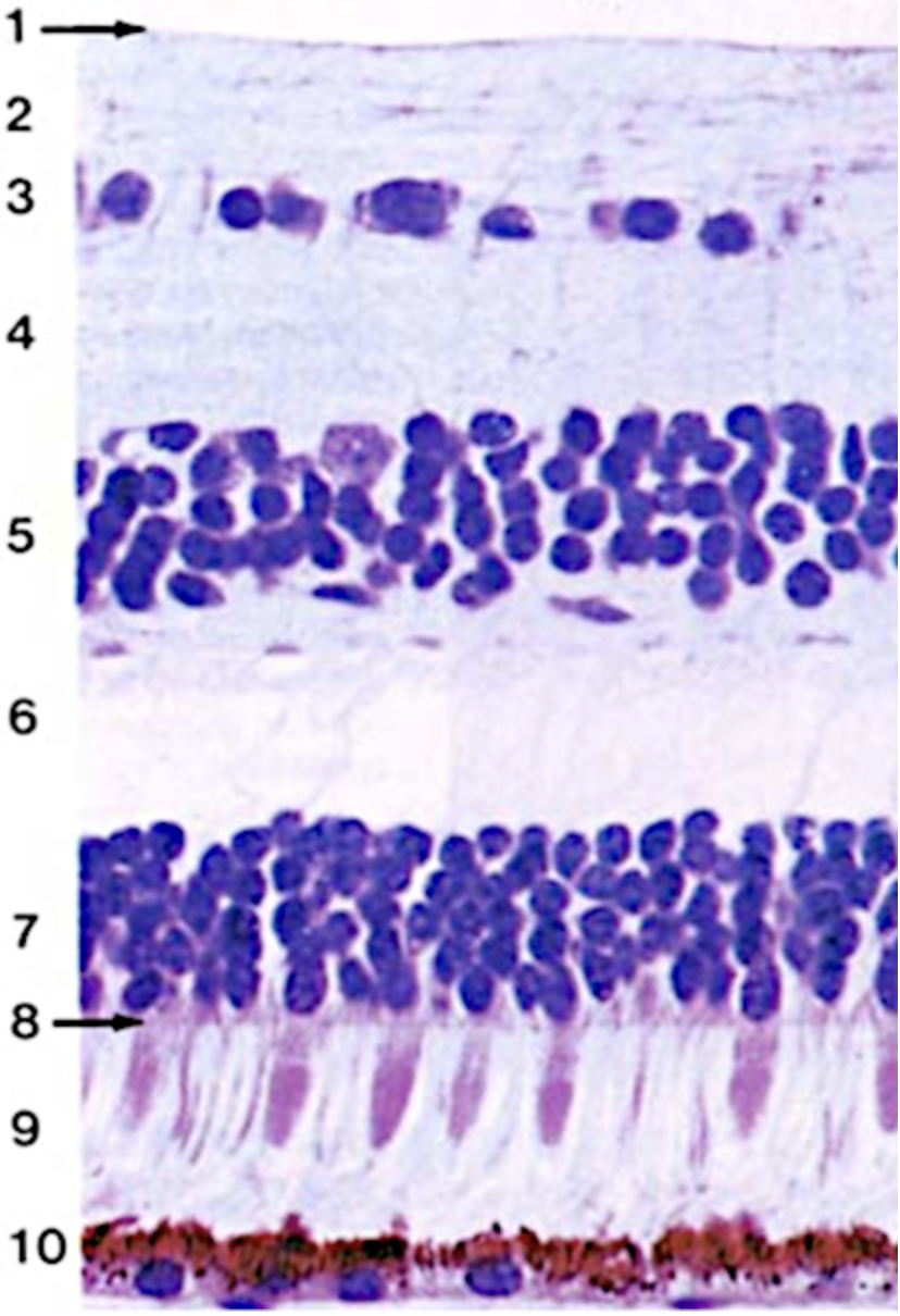
                histologie rétine.png
                hyperréfléchissant.jpg
                hypoplasie choroïde ophtal.png
                image.jpg
                image maladie oculaire colley.png
                Invagination de la vésicule cristallinienne dans la vésicule ophtalmique qui devient la cupule ophtalmique.jpg
                ophtalmoscope décoll rétine.png
                schéma bâtonnets.png
                schéma cône.png
                schéma oeil 1.jpg
                schéma photorecepteur 2.jpg
                Transformation du pédoncule optique en nerf optique.jpg